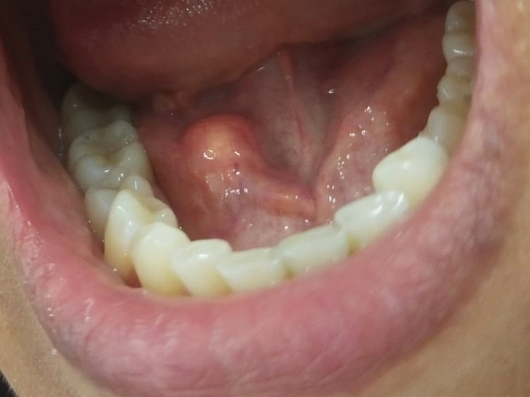
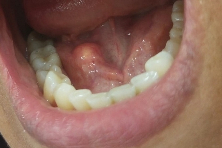
В Чебоксарах пациентке удалили слюнной камень размером с вишню

В Чебоксарах пациентке удалили слюнной камень размером с вишню
фото: Республиканская стоматологическая поликлиника Минздрава Чувашии

На протяжении всего лета в республике успешно реализовывался социальный проект «Шаг к здоровью», инициированный Главой Чувашии Олегом Николаевым.

В рамках этого проекта 48-летняя жительница Чебоксар обратилась с жалобами на припухлость под нижней челюстью и боль, возникавшую во время еды.

Осмотр провела заведующий отделением терапевтической стоматологии Оксана Новошинова. Специалист выявила увеличение поднижнечелюстной слюнной железы и уплотнение в области её выводного протока. Пациентку в срочном порядке направили к стоматологу-хирургу Ранилу Камальдинову. Врач поставил диагноз: закупорка протока слюнной железы камнем.

Образовавшийся конкремент был успешно удалён в день обращения женщины за помощью. Благодаря оперативному вмешательству функция слюнной железы полностью восстановилась, что позволило пациентке вернуться к нормальной жизни.

Что еще почитать

В регионах

Новости региона

Все новости

Новости

Самое читаемое

...
Сегодня
...
...
...
...
Ощущается как ...

Автовзгляд

Womanhit

Охотники.ру